a.b.c. brighten

with Teeth Whitening

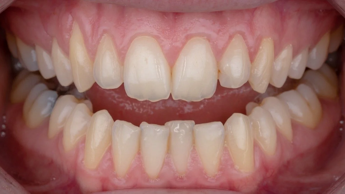
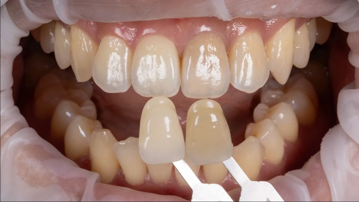
Before After

FAQs

What is the science of Teeth Whitening?

Whitening works by removing stains and discolouration, always ensuring a naturally brighter appearance as it does not add artificial white to the teeth.

Carbamide Peroxide, the active ingredient in our prescription whitening serums, releases oxygen that penetrate the teeth and break down stain molecules into smaller, colourless compounds to deliver a brighter, whiter smile without affecting or damaging the mineral content of the teeth. The appearance of teeth becomes whiter in the absence of stain molecules.

Why is it a Prescription treatment?

Professional-grade whitening agents can only be prescribed under the supervision of a dentist to ensure appropriate use in healthy patients.

Prescription whitening serums contain higher-strength oxidising agents, delivering more predictable and longer-lasting results. Custom-fitted trays or retainers are fabricated to ensure even application and protect gums. A tailored programme in strength and application is created to suit your teeth and lifestyle.

Foundation

By whitening your teeth’s core colour, Composite Contouring can bring out your best smile without masking their shade.

Brown Patch
Brown Patch Whitened

Amber Patches

Naturally occurring colouration of the enamel that is healthy and predictably whitened.

Darkened Front Tooth

Darkened Tooth

A single darkened tooth is usually the result of past trauma that can be whitened to blend with the rest of your smile.

now that the teeth are whitened, the contour phase of the a.b.c. will follow

Read More
Find Clinician

book your appointment to discover our artisanal solutions

Book Now