Smile after a.b.c. journey

a.b.c. align

with Fixed or Removable Braces

Before After

FAQs

Ceramic Fixed Braces

Clear Fixed Braces

The advantages of traditional braces have been combined with modern material science to create porcelain braces. This option offers both aesthetics and classic mechanics, making it unparalleled in terms of efficiency.

Each tooth is fitted with a uniquely designed porcelain bracket that perfectly matches its anatomy and is precisely bonded to the tooth's surface with the desired position in mind.

The porcelain brackets hold a hyperelastic titanium alloy arch-wire, which gradually moves the attached teeth into their planned positions. Thanks to the memory nature of this alloy, it flexes back to its original shape, exerting controlled pressure and facilitating the alignment process.

  • Being bonded to teeth, they are working all day, everyday. Perfect for those who do not want the additional regiment of removing something to eat/drink throughout a day.

  • Complex movements require the underlying roots to be corrected which the traditional mechanics are more efficient at delivering.

  • Our choice of components, in particular the porcelain bracket used (the square on the tooth) is market leading in its low-profile design.

Clear Removable Aligners Invisalign Invisible Braces

Clear Aligners

One of the most discrete ways to straighten your teeth, utilising 3D modelling to create aligners that gradually move your teeth to their desired final position. A series of custom-made clear aligners are designed for your teeth, each worn for 1-2 weeks before being replaced by the next in the series. This gradual progression allows for a step-by-step movement towards the projected final position. Your total treatment time will be determined during the planning phase and previewed before the treatment begins.

The clear aligners are constructed from a strong yet hyper-elastic medical-grade polymer. Considerable investments of time and resources have been dedicated to developing these advanced polymers, and the way they flex over your teeth at each stage is what sets cutting-edge polymers apart from generic ones.

  • With less bulk and no archwire involved, the clear aligners are hard to notice during the day-to-day whilst delivering good control due to the most advanced hyperelastic polymers used.

  • When wearing the aligners, the composite attachments used are smoothed over with the high-gloss polymer, providing an aesthetic and comfortable wearing experience.

  • Being a fully digital and 3D workflow, the plan and simulated end-result will be previewed. The clinical steps are planned from the outset of treatment.

Transformative

It’s more than straight teeth, it’s a change in how you feel when you smile. We create results that look effortlessly perfect.

ABC Result Smile
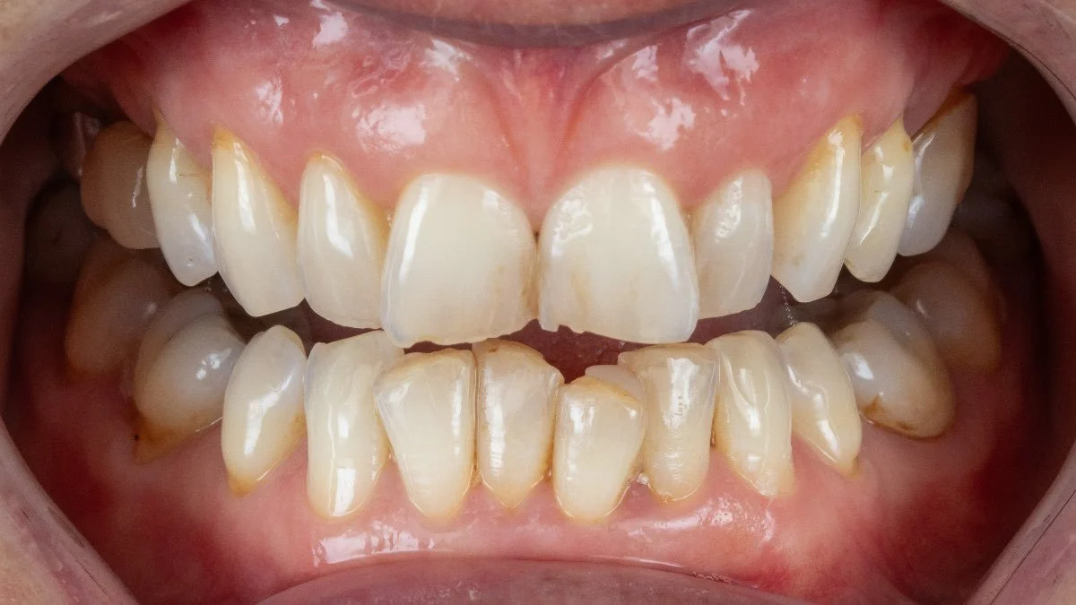
Crowded Teeth

Alignment

Discreet orthodontics to align teeth, creating a harmonious bite and the foundation to restore worn, chipped teeth.

Crowded Lower Teeth

Retainers

We use a gold-standard combination of retainers to help secure the results of your braces long term.

Aligned Lower Teeth

the next phase in the a.b.c. is to brighten and elevate the natural teeth

Teeth Whitening
Read More
Find Clinician

book your appointment to discover our artisanal solutions

Book Now